Childrens Dentistry

Opening Hours

Mon - Fri
-
Sat - Sun
Closed
Appointments:

Please contact us to arrange an appointment.

Emergencies:

Same day emergency treatment is usually available, and our telephone is attended 7 days per week.

Children's Dentistry

Basics of Children's Dental Care

Oral hygiene is important in early years, to prevent tooth decay and gum disease. Regular Dental check-ups help us to help you prevent and treat decay before it causes cavities and toothache.
 
Children should start to visit the our practice as young as possible, so bring them along with you to your check-ups. They may be too young for an examination but the visits helps to familiarize them with the surroundings, the smells, noise and most important they meet the our dental team.
 
The examinations will be informal to start:
  • A quick look using a dental mirror.
  • Counting the teeth and looking for signs of decay.
  • As your child's confidence grows we will carry out more thorough examinations.

Beginnings - The Check Up

Blackwood Smiles Children's Check Up

With great care, we will check on a number of factors that will benefit your child in future years having a healthy mouth, and a great smile.

 

  • Which teeth have erupted (come through the gum).
  • Accessing the development of the jaw.
  • Checking for cavities in the teeth.
  • As your child gets older we will assess how they bite together to check if orthodontics are required later on.

Taking Care Of Children's Teeth

Blackwood Smiles Care of Children's Teeth

Oral hygiene starts as soon as your child's first tooth erupts through the gum, this is around six months of age.

 

  • Use a small and soft child's toothbrush and a rice sized amount of children's tooth paste.  As this contains less fluoride than adult tooth pastes; if you are unsure about the fluoride content please speak to us.
  • Brush twice a day once in the morning and before bed, cleaning the teeth and the gum area. You will need to clean your child's teeth or supervise until they are around 8 years old.
  • Encourage your child to spit the toothpaste out but not to rinse with water as this reduces the effects of the fluoride.
  • Avoid letting your child to fall asleep with a bottle of milk, formula milk or any fruit juice as these have hidden sugars which will pool around the teeth as they sleep, leading to cavities.
  • Limit the amount of sugars in your child's diet. If they do have sugary snacks and drinks keep them to meal times only and give water and healthy snacks in between.
  • If your child is prone to tooth decay in their baby teeth your dentist may recommend fluoride treatment as this helps to strengthen the tooth surface.  Then as the adult teeth erupt through the gum, it may be advised that a protective layer is painted onto the tooth's biting surface, which is called 'Fissure Sealants'

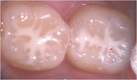
Taking Care Of Children's Teeth

Blackwood Smiles Fissure Sealants

Fissure sealant is a tooth coloured liquid which is applied on the chewing surface teeth to prevent cavities from forming in early years. Once applied the coating is permanent, and will stay on your child's teeth for a number of years.

 

Why fissure sealants?

Back teeth are known as premolars and molars and have pits and grooves on the biting surface, some of which can be deep and difficult to keep clean with brushing. Food particles can become trapped and this creates a perfect breeding ground for plaque bacteria which if left, will generate cavities. Fissure sealants work by filling the deep pits and grooves making it easier to clean your teeth and thus helping to prevent cavities from forming.

 

The Procedure

  • The teeth which the sealants are being placed on will be cleaned and dried.
  •  
  • The chewing surface of  the tooth will be prepared to accept the Fissure Sealant
  •  
  • The Fissure Sealant is applied to the tooth using a small  brush and then  hardened by concentrated beam of ultraviolet light.

Share by: